Klinik Uygulamalar
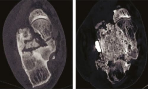
Enfekte kaynamama durumunun eCOO® Clean kansellöz çipsler ile tedavisi.
Topuk kemiği kırığı sonrası birden fazla ameliyat sonrasında hem malleol hem de kronik osteomiyelit gelişti.
Orbone® eCOO® Clean kansellöz çipsler ile topuk kemiği kırığı sonrası kronik osteomiyelit tedavisi…



